
As motivações do casamento e a relevância da Palavra na vida conjugal
22/01/2026
Obreira da Igreja da Graça recebe a cura de problemas na coluna durante oração
23/01/2026
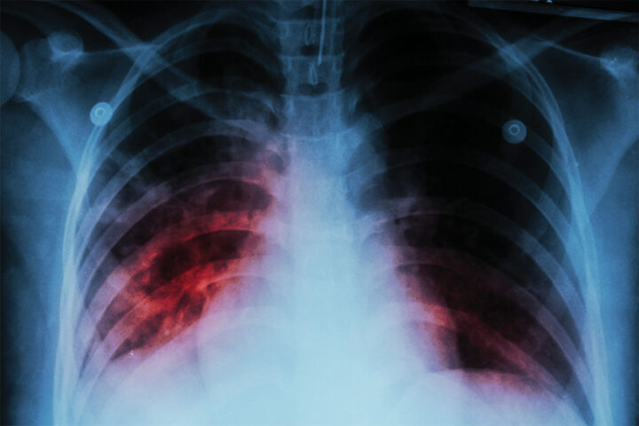
Infecção letal
A Organização Mundial da Saúde (OMS) divulgou um relatório global em novembro reforçando que a tuberculose, uma das doenças infecciosas mais mortais do planeta, continua fazendo milhares de vítimas. Em 2024, foram registrados 10,7 milhões de novos casos e mais de 1,2 milhão de mortes. A OMS aponta que 87% das infecções ocorreram em 30 países, sendo que oito deles são responsáveis por 66,9% do total: Índia (25%), Indonésia (10%), Filipinas (6,8%), China (6,5%), Paquistão (6,3%), Nigéria (4,8%), República Democrática do Congo (3,9%) e Bangladesh (3,6%). O Brasil não figura entre os de maior incidência da doença, mas registrou 84.308 casos em 2024.
De acordo com o Ministério da Saúde, a enfermidade, transmitida pelo ar, espalha-se facilmente em locais com aglomeração e afeta principalmente os pulmões, embora outros órgãos, como rins e sistema nervoso, também possam ser comprometidos. Cientistas pontuam que, além dos sintomas mais frequentes – tosse com secreção, cansaço intenso e perda acentuada de peso –, nos casos mais graves há risco de destruição do tecido pulmonar e insuficiência respiratória. Entre os fatores que favorecem a disseminação da doença, destacam-se: desnutrição, HIV, diabetes, tabagismo, consumo de álcool e questões estruturais, como pobreza e dificuldade de acesso a serviços de saúde. (Patrícia Scott com informações de UOL Saúde)

Benefício cardíaco
A polpa cremosa do abacate concentra nutrientes que fazem bem ao corpo, em especial ao coração. É o que indica um estudo do Centro de Revisões Sistemáticas para Saúde Cardiovascular e Metabólica da UNESP, em Marília (SP), publicado pela revista digital Clinical Nutrition ESPEN, da Sociedade Europeia de Nutrição Clínica e Metabolismo. Segundo o levantamento, o consumo do fruto está associado à redução do LDL (lipoproteína de baixa densidade, mais conhecido como colesterol ruim), sobretudo, em pessoas com risco elevado para doenças cardíacas. Pesquisas anteriores demonstram que controlar os níveis de LDL ajuda a proteger as artérias, diminuindo a probabilidade de infarto e AVC. Nosso estudo utilizou uma ‘umbrella review’, que analisa várias revisões sistemáticas, explica o pesquisador Vitor Engrácia Valenti, um dos autores do trabalho. Ele ressalta que, em indivíduos com sobrepeso ou diabetes tipo 2, o abacate também sugere benefícios metabólicos adicionais, em razão dos efeitos cardioprotetores do fruto, rico em minerais como potássio e magnésio (importantes para a pressão arterial) e em fibras solúveis, que se conectam aos ácidos biliares – essenciais na digestão das gorduras. (Patrícia Scott com informações de CNN Brasil)

Saúde auditiva
A perda auditiva tem avançado rapidamente e se consolidado como uma das condições de saúde com maior aumento na população mundial. Segundo a Organização Mundial da Saúde (OMS), em torno de 2,5 bilhões de pessoas até 2050 terão algum grau de deficiência auditiva, e mais de 700 milhões precisarão de reabilitação. A preocupação também atinge os jovens: mais de 1 bilhão estão em risco devido ao uso frequente de fones de ouvido em volumes altos. No Brasil, fonoaudiólogos afirmam que ainda há pouca divulgação sobre saúde auditiva e dizem que é necessário informar às pessoas acerca dos sinais iniciais de perda de audição, dos cuidados diários e das tecnologias disponíveis.
Estudos internacionais mostram que a perda auditiva não está ligada apenas ao envelhecimento, mas também à exposição constante a ruídos urbanos — trânsito, transporte público, obras, shows e ambientes de trabalho. Algumas pesquisas apontam que pessoas expostas por mais de cinco anos a sons intensos têm quase quatro vezes mais chance de desenvolver perda auditiva bilateral (diminuição da capacidade de ouvir em ambos os ouvidos). No entanto, especialistas afirmam que medidas simples podem reduzir esses riscos: diminuir o volume dos fones, fazer pausas, evitar locais muito ruidosos, realizar exames auditivos periódicos e procurar orientação ao notar zumbido, dificuldade para ouvir ou sensação de ouvido “tapado”. Para eles, com prevenção e acompanhamento adequado, é possível reduzir danos auditivos e preservar a qualidade de vida em todas as idades. (Patrícia Scott com informações de Saúde IG)


